兒童牙齒 6 ~ 12 歲發育:幾歲換牙 + 乳牙 / 恆牙長牙時間順序

兒童牙齒的健康發展是孩子成長中不可忽視的重要課題。從乳牙的萌發到恆牙的全面取代,每個階段都蘊藏著關鍵的護理需求,這不僅影響孩子的咀嚼與發音,更關乎他們的口腔健康與未來自信心的建立。

甯境牙醫深知家長們對孩子換牙過程中的疑問與擔憂,本文將以專業且系統的方式,帶您了解兒童牙齒從乳牙到恆牙的完整發展過程,並介紹家長在兒童從 1 歲到 12 歲這段時間照顧寶貝牙齒、預防蛀牙的重點。

 

小朋友幾歲開始換牙?

在孩子的成長過程中,乳牙與恆牙的交替是重要的發育里程碑,這不僅關係到牙齒的排列與功能,更影響孩子未來的口腔健康。

乳牙會在 6 歲左右開始脫落,恆牙開始陸續萌發,所有恆牙除了智齒以外,會在 12 歲左右長完。智齒則會在 18 歲左右之後才開始萌發一直到 25 歲左右。

然而,許多家長在面對兒童換牙時,常常充滿疑惑與擔憂:乳牙蛀牙是否需要治療?恆牙萌發的順序正常嗎?何時是牙齒矯正的最佳時機?這些問題看似日常,實則關鍵,換牙期是孩子口腔結構發展的重要階段,對小朋友來說至關重要。接下來,我們以 QA 問答的方式一一解答家長的疑問和憂慮。

乳牙換牙順序

兒童乳牙換牙順序圖解|標示 6–12 歲各顆乳牙脫落時間與先後位置

乳牙掉落順序:

  1. 乳牙會在 6-7 歲左右開始從正中門牙脫落,且通常下門牙會早於上門牙一點點;

  2. 接著是側門牙會脫落,上下側門牙接會在 7-8 歲時脫落;

  3. 上下第一乳大臼齒會較乳犬齒早脫落,約在 9-11 歲時脫落;

  4. 緊接著是乳犬齒會脫落,下排乳犬齒可能會比上排早一點點脫落約在 9 歲左右,而上排乳犬齒則在10歲左右開始脫落,直到12歲左右;

  5. 最後是第二乳大臼齒的脫落,約在10-12歲左右。

備註:乳牙脫落通常為左右對稱,先下後上。

乳牙脫落換牙注意事項

脱牙時間會有個體差異,然而當異常脫落發生時,例如外力撞擊,則建議盡快尋求專業牙醫師評估狀況,切勿將掉落的牙齒植回,以免造成恆牙牙胚受傷。

另外,當超過脱牙年齡一陣子,乳牙卻遲遲未脫落,可能會佔據恆牙位置,導致恆牙生長空間不足而歪斜,因此會建議家長在孩子 7 歲左右能至牙醫診所進行第一次的牙齒評估。

恆牙萌發順序

兒童恆牙萌發順序完整圖解|標示各顆恆牙長出時間(6–13 歲)及位置

當乳牙開始脫落,也意味著底下逐漸成形的恆牙也會哏著慢慢冒出,所有恆牙除了智齒以外,會在 12 歲左右長完。智齒則會在 18 歲左右之後才開始萌發一直到 25 歲左右。

恆牙具體萌發順序:

  1. 第一個先長出來的成人牙為第一大臼齒,約在 6-7 歲時會於第二乳大臼齒後側長出;

  2. 再來 7-8 歲會長出正中門齒;側門牙則在 8-9 歲長出;

  3. 接下來下排犬齒是在 9-10 歲長出;

  4. 上排第一及第二小臼齒會比上排犬齒早長出分別為 10-11、12歲;

  5. 而上排犬齒則在 11-12 歲才長出;

  6. 下排第一小臼齒在 10-12 歲長出、下排第二小臼齒在 11-12 歲長出

  7. 第二大臼齒最後才長出來,上排約在 12-15 歲,下排則在 11-13 歲

  8. 智齒則是在 16-25 歲長出,有些人也有可能不會長智齒

小朋友換牙年齡對照表

恆牙萌發順序將以圖表呈現,如下:

順序 上排 下排
1 第一大臼齒 6-7歲 第一大臼齒 6-7歲
2 正中門牙 7-8歲 正中門牙 7-8歲
3 側門牙 8-9歲 側門牙 8-9歲
4 第一小臼齒 10-11歲 犬齒 9-10歲
5 第二小臼齒 10-12歲 第一小臼齒 10-12歲
6 犬齒 11-12歲 第二小臼齒 11-12歲
7 第二大臼齒 12-15歲 第二大臼齒 11-13歲
8 智齒 16-25歲(也有可能不會長)
 

什麼是兒童牙齒發育異常?

乳牙過早掉落或空缺,對未來恆齒生長會有什麼問題?

乳牙過早掉落、空缺,會建議做空間維持器為有缺空的乳牙位置保留空間,若沒有維持住空間,左右相鄰的牙齒會自然往缺空位置傾倒,導致將來要萌發的恆齒,無法生長在正確位置,形成齒列擁擠的情況。

小朋友是先天性缺牙的話該怎麼辦?

於牙醫診所檢查時會拍攝全口 x 光片,正常情況下可以看到乳牙下方會有球狀的恆牙牙胚生長,如果是有缺少恆牙牙胚的情況產生,很大機率有先天性缺牙的問題:

  • 若這顆乳牙結構完整健康,可以盡力維持口腔清潔,讓乳牙持續扮演恆牙角色

  • 倘若已經嚴重蛀牙導致牙齒無法留下,則可以考慮透過齒列矯正或是微創植牙的方式來解決。

 

兒童換牙三階段及照護重點

兒童牙齒成長的過程可以分為以下三個主要階段,每個階段都有其獨特的護理和矯正需求。

乳牙齒列期(Primary Dentition,1~6歲)

乳牙萌發最早為嬰兒 6 個月時,持續到 3 歲左右。

在這個階段,乳牙正在萌發,需要特別的照顧。除了定期到診所塗氟溝隙封填外,家長也應該養成每三個月帶孩子進行牙齒檢查的習慣,以確保乳牙健康並預防齲齒。

照護方法

乳牙開始萌發時,小孩可能會有口水增加、牙齦腫脹甚至牙齦疼痛的狀況。當出現牙齦疼痛時,若小朋友已經開始吃硬的食物,可能會失去食慾,這時可以將食物暫時改成軟的或流質的來減緩疼痛感。此時不用過度擔心,因為這種失去食慾通常出現在牙齒萌發前後一個禮拜左右的時間。

可食用冰涼的食物如優格、水果等等,能減緩疼痛感。另外,其實較硬的食物也能產生「對抗壓力」於正在萌發的牙齒上而減緩疼痛感,需要視小孩狀況而做決定哦。

了解寶寶乳牙換恆牙的症狀

甯境牙醫兒童換牙衛教資訊圖|換牙注意事項與照護建議

當孩子開始長牙時,可能會出現情緒不穩、睡不好的狀況,此時家長們的陪伴顯得更加重要!我們可以給予寶寶使用固齒器,或是閱讀、玩耍來緩解寶寶長牙的不適!

齒列混合期(Mixed Sentition,6~12歲)

接下來小朋友會進入混合齒列期,通常是在 6 歲到 12、13 歲左右。

這個時期乳牙逐漸脫落,恆牙開始長出,牙齒移動速度較快,因此被稱為矯正的黃金時期。家長應觀察孩子的齒列是否擁擠或出現錯咬、咬合不正的情況,同時注意雙顎的正常發育。如有疑慮,建議諮詢專業的齒顎矯正醫師。

照護方法

通常這時期會是一個對孩童、家長及醫師來說比較關鍵的階段,需要更多關注。因為小朋友的一些習慣,如:吸吮手指、口呼吸、吞嚥時舌頭擺放不正確,皆有可能會影響未來恆牙的發展與美觀。乳牙的脫落及恆牙的萌發時間也是極為關鍵,因為這會影響到牙齒排列空間充足與否,進而影響恆牙的排列與美觀。

家長可以注意,大約 6 歲左右小朋友的「第一大臼齒」會開始萌發,這顆牙齒會長在乳牙的第二大臼齒後面,從牙齦裡冒出來,它是未來其他恆牙是否有充足空間萌發的重要角色。接下來 6-7 歲左右,「下排門牙」會先脫落,在其他牙齒陸續脫落的同時,恆牙也會陸續萌發。

此時別忘了請牙醫師們運用專業知識來關注小朋友牙齒發展的情況哦。

恆牙期(Permanent Dentition,12 歲以上)

所有恆牙除了智齒以外,會在 12 歲左右長完,接著就是恆牙齒列期了(permanent dentition)。智齒則會在 18 歲左右之後才開始萌發一直到 25 歲左右。

此階段牙齒已進入恆牙期,乳牙大多已經換完。此時應由專業的青少年矯正專科醫師評估孩子的矯正需求,以確保恆牙的健康排列。

照護重點

從此我們更要好好維持口腔清潔及牙齒健康狀況,因為這是接下來我們要用一輩子的牙齒哦。智齒則會在 18 歲左右之後才開始萌發一直到 25 歲左右。 

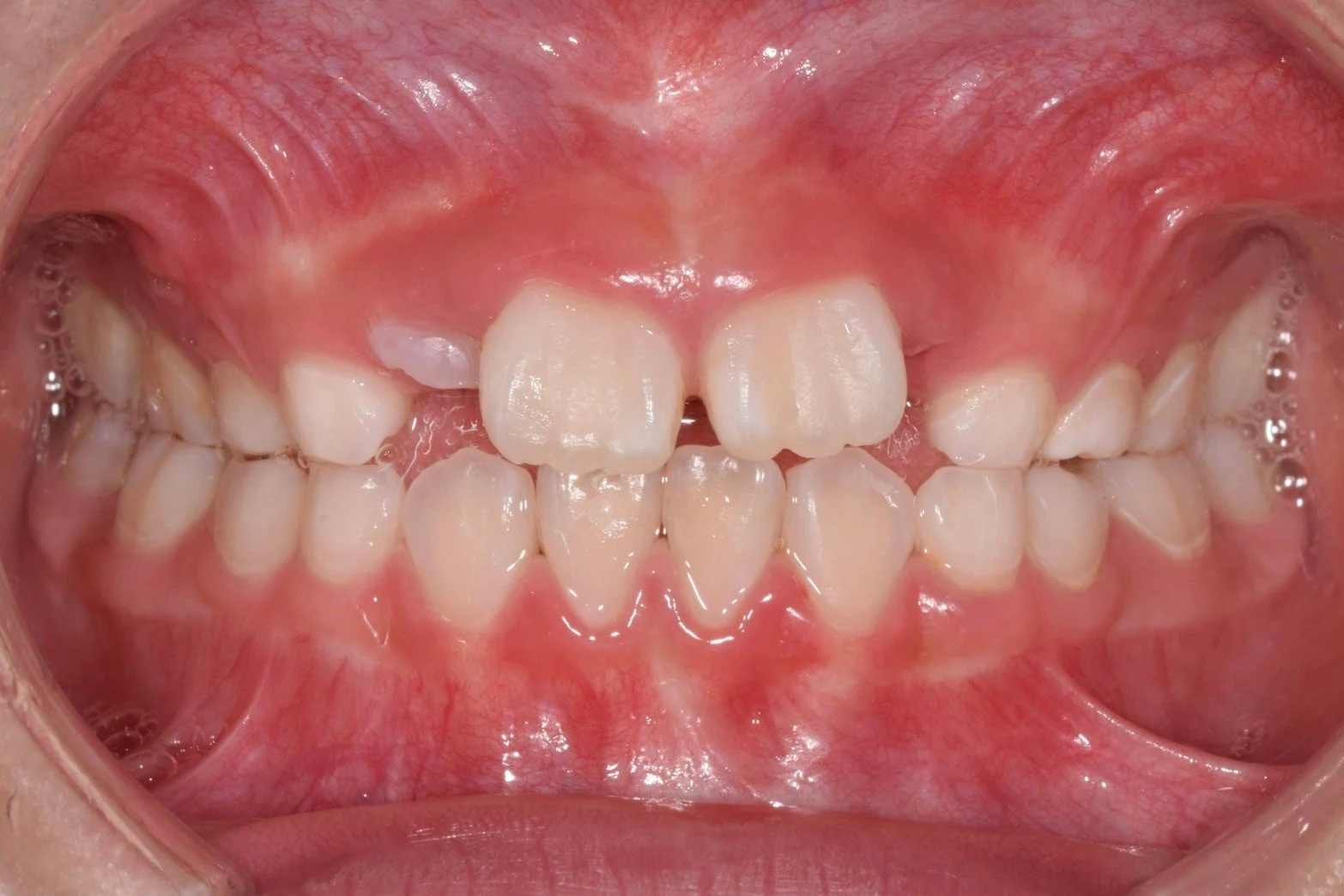
有聽過有些小朋友會經歷醜小鴨階段(Ugly Ducking Stage)嗎?

換牙醜小鴨期(Ugly Duckling Stage)示意圖|上排門牙外八為正常換牙現象

在混合齒列期,可能有些小朋友會出現醜小鴨階段(Ugly ducking Stage),時間約在 8、9 歲左右,此時上顎門牙之間會出現牙間隙(Diastema)。這通常是正常狀況,不是因為齒列不整齊。基本上等上顎恆牙犬齒萌發好,大概 12 歲左右牙齒會自動歸位,家長們也不用過度擔心哦!

不過齒間隙 (Diastema)不是只有在醜小鴨階段才有的,另外像是過長的唇繫帶(Labial Frenulum)或是多生牙(Supernumerary Teeth)也會造成齒間隙(Diastema)。

 

牙醫師臨床最常被家長問到的幾個問題

1.乳牙已經在晃動,可以自己拔掉嗎?

不建議自己拔掉,自然脫落的話傷口會比較小,較不會感到不適,若是過度搖晃影響到飲食,也是建議給專業牙醫師評估來決定是否拔掉,才不會影響到乳牙為恆牙保留空間的功能。

2. 換牙期需要看牙嗎?多久一次呢?

需要的,換牙期間是個關鍵時刻,牙醫師能透過X光片去評估牙齒萌發是否正常,也能提早發現是否有先天性缺牙或阻生齒的狀況。建議每3-6個月看牙一次。

3. 換牙期要注意什麼口腔狀況?

最重要的當然就是保持口腔清潔,避免蛀牙,同時也要留意孩子是否有不良的口腔習慣,如吸吮手指,咬筆及口呼吸等狀況,以避免日後牙齒排列不整狀況甚至面部發育問題。

4. 乳牙未來會換成恆齒,蛀牙了可以不治療嗎?

不可以唷!雖然乳牙最終會換成恆齒,但是不接受治療的乳牙,除了會疼痛不舒服以外,還會影響埋藏在底下的恆齒發展,為了避免產生更嚴重的情況,該治療的牙齒還是要儘早處理唷!

5. 換完恆齒後再來矯正牙齒不行嗎?

待恆齒換完後,齒顎骨已經過了成長期,這時候開始矯正也是可以的,只是矯正的成本及難度都會比兒童矯正來得高,牙齒的移動速度相對也會比較緩慢一些。

延伸閱讀:牙齒矯正沒有年齡限制!成人牙齒矯正懶人包

6. 乳牙抽神經做了牙套保護,換牙時該怎麼處理?

兒童不鏽鋼牙套(小鋼牙)是和乳牙直接黏在一起,所以自然換牙時會一同脱落,無須太過擔心;若是換牙過程不順利,應預約牙醫診所由專業醫師進行檢查。

 

恆牙萌發時要注意什麼?

恆牙剛長出來可能會歪歪斜斜

剛長出來的恆牙為什麼歪歪的?

這是一個蠻常見的換牙狀況,之後會隨著後續牙齒萌發及顎骨成長將自然改善,只要確定有定期找醫師評估,確保牙齒有足夠生長空間即可。期間也不建議刻意用舌頭去頂牙齒,以避免造成其不穩定及不必要的作用力。

乳牙未脫落而恆牙已萌出形成雙排牙

乳牙還沒掉但恆牙已經長出來,形成雙排牙?

這通常為暫時性的,常常發生在下顎門牙,因其恆牙牙胚位於乳牙的舌側長出,通常會因舌頭推力慢慢將恆牙往唇側側推,而使未脫落的乳牙脫落(注意:如第一點所述,也不建議刻意用舌頭去推牙齒)。

通常下排發生此狀況時,不會建議需要拔牙,然而,若是此狀況發生於上排牙齒時,則會建議盡快給牙醫師評估,以免日後牙齒不整問題。

新萌出的恆牙顏色較乳牙偏黃屬正常現象

剛長出的恆牙顏色偏黃?

剛長出的恆牙比起乳牙,法瑯質的半透明度較高,因此底下的牙本質顏色便會透出來,而牙本質本身顏色偏黃,因此新生的恆牙便會顯得較偏黃。

雖然恆牙偏黃是正常的狀況,然而當單顆牙齒特別黃並帶有白色斑塊時,這可能是氟斑齒。通常氟斑齒對牙齒沒有什麼影響,但若是在意美觀也可以至牙醫診所處理;若是表面粗糙,有崩裂狀況,則可能是牙齒發育異常,可以至牙醫診所診斷及處理。

 

把握孩子的矯正黃金時期,根據需求挑選適合的矯正方式

相信很多爸爸、媽媽都很煩惱,到底要在幾歲為孩子挑選適合的矯正方式呢?

在孩子開始長牙後,除了一定要定期回診檢查牙齒、追蹤口腔發育狀況之外,大約在 6、7 歲孩子開始換牙時,即可注意、觀察是否有需要矯正的問題,建議可以至牙醫診所交給醫師做專業評估,了解合適的矯正方式!

尤其當發現可能有牙齒空間不足、後排或前排牙齒錯咬(下顎牙齒咬在前牙外側)以及開咬的情況。假如沒有特別情況,10 - 14 歲也是一個很好的矯正時機,因為此時大部分恆牙已經萌發,小朋友的嘴巴、下顎及牙齒也都還在發展階段,牙齒會比較容易被移動與排列,從而省下後續更繁瑣複雜的矯正過程。

目前最常見的矯正方式為:一、功能性矯正裝置 以及 二、兒童隱形矯正,不同的矯正方式各有優點與合適的狀況,主要要看孩子的需求是什麼來作為選擇依據。

舉例來說,若孩子有發生「口呼吸」的狀況,可以考慮使用功能性齒顎矯正來改善肌肉的正確發力位置;牙齒排列凌亂者,可以考慮外型美觀的隱形矯正,不僅不影響孩子的外表與自信心,方便拆卸配戴的特性讓孩子飲食不受限,更能顧及營養均衡與健康!

除了以上兩種常見矯正方式外,甯境牙醫提供多元性的矯正方式,尚有 戴蒙矯正 、 傳統矯正可以選擇喔!

 

小朋友為什麼容易有蛀牙?

『小寶貝們在乳牙時期蛀牙應該沒關係,反正就快要換牙了!?』–––這是許多家長可能聽過的錯誤迷思喔!其實小朋友的乳牙沒有好好照顧,長期的蛀牙可能會影響到之後恆牙能否順利的生長,因此,好好照顧乳牙其實是非常重要的!

以下告訴媽咪們幾個容易造成小寶貝們蛀牙的成因,讓我們即時調整、照護孩子們的口腔健康。

喝夜奶 ➜ 因為睡眠過程中,口腔長時間充滿糖分會加速蛀牙的發生,建議一歲後戒除夜奶習慣。

吃甜食 ➜ 當細菌吸收糖類,會產生酸性物質腐蝕牙齒而導致蛀牙,小寶貝吃完記得及時刷牙或漱口喔~

用餐時間超過 30 分鐘 ➜ 吃飯時間太長也會造成口內酸性環境,應控制用餐時間與加強飯後囗腔清潔。

沒有正確清潔牙齒及使用牙線 ➜ 容易使牙菌斑滋生與停留在牙齦底下。

更多與兒童蛀牙有關的知識,歡迎參考〈有兒童蛀牙問題怎麼處理?想避免牙齒蛀牙,這些重點你不可不知!

 

乳牙照顧小撇步

小寶貝的牙齒從出生就得好好保養,各位媽咪跟著我們一起來檢查吧

🌸未長乳牙➜ 喝完奶時,使用乾淨的紗布擦拭小寶貝的牙齦、舌頭及嘴巴兩側

🌸長乳牙➜ 喝完奶及吃完副食品,開始試著讓寶貝學習使用牙刷搭配含氟牙膏清潔

⭐️貼心提醒,爸比與媽咪一起當作小寶貝的模範,從小養成良好生活習慣喔!

甯境牙醫溝隙封填衛教圖|牙膏與兒童口腔保健工具說明

甯境小提醒|含氟牙膏的建議用量

🌸建議一歲後戒除喝夜奶習慣➜ 避免在睡眠過程中口腔糖分加速蛀牙發生率

🌸少吃甜食➜ 細菌吸收糖類後,會產生酸性物質腐蝕牙齒導致蛀牙,小寶貝吃完記得及時刷牙或漱口喔~

🌸避免吃飯時間太長➜ 用餐時間過長也會造成口內酸性環境,盡量控制寶貝在30分鐘內完食,飯後也別忘了口腔清潔呦!

🌸每三至六個月記得帶小寶貝回診檢查牙齒 好好保護小乳牙 讓細菌不敢靠近☺️

 

兒科牙醫師:帶小朋友看牙不頭痛的幾個訣竅

建議小朋友什麼時候可以開始看牙齒?

當小寶貝長出第一顆乳牙(6 - 8個月時)後即可預約牙醫。不僅可檢查牙齒狀況,也可以讓小寶貝們從小養成定期檢查牙齒的好習慣,幫助孩子適應看牙環境,降低對看牙的恐懼感。

初次看牙時,醫師會給予家長們基礎衛教與觀念,從小就為寶寶奠定最正確的生活習慣,培養與牙醫診所的信任與熟悉,也可以讓專業牙醫師教導家長們嬰幼兒口腔清潔方式及相關衛教。

寶寶幾歲第一次看牙科?甯境牙醫兒科建議圖|嬰兒口腔保健時程

一般來說,初次看牙時,牙醫師會完成以下治療,並向家長說明以下資訊:

  • 牙齒檢查與塗氟

  • 學習如何為寶寶刷牙

  • 知道好、壞習慣有哪些

  • 如何避免蛀牙發生

  • 了解寶寶長牙的順序

至於小朋友多久看一次牙醫呢? 美國兒童牙科醫學會(American Academy of Pediatric Dentistry)建議每六個月看一次牙醫。

如果已經錯過剛長牙的時機也不用太緊張,建議短時間內帶寶寶至兒童專科做完善的檢查,切記不要等到有狀況(牙痛、蛀牙)才就醫喔!

甯境牙醫兒童看診實景|兒科牙醫師協助寶寶進行口腔檢查

甯境為了孩子們提供『笑氣治療』、『兒童鎮靜舒眠治療』,更舒適且有效降低壓力與緊張不安的情緒,讓孩子重新對牙科擁有一個美好的感受!

 

甯境兒童牙科專科醫師陣容

方彥期副院長|甯境牙醫兒童牙科專科醫師・衛福部認證・台大醫院訓練

兒童牙科、舒眠治療、兒童早期矯正

  • 衛福部部定兒童牙科專科醫師

  • 中華民國兒童牙科學會兒童牙科專科醫師

  • 隱適美Invisalign隱形矯正認證醫師

  • 天主教輔仁大學附設醫院兒童牙科專任主治醫師

  • 臺大醫院牙科部兒童牙科兼任主治醫師

  • 臺大醫院牙科部兒童牙科總醫師

  • 臺大醫院牙科部住院醫師

  • 高雄醫學大學牙醫學系學士

甯境牙醫劉上禎醫師|台北大直兒科牙醫・早期矯正・舒眠治療

兒童牙科、舒眠治療、兒童早期矯正

  • 衛生福利部部定兒童牙科專科醫師

  • 臺灣大學牙醫學士

  • 前臺大醫院兒童牙科總醫師

  • 臺大醫院兒童牙科兼任主治醫師

  • 中華民國兒童牙科醫學會會員

  • 隱適美Invisalign隱形矯正認證醫師

Previous
Previous

咬合不正怎麼辦?會影響臉型?類型分級、治療矯正方式一次看

Next
Next

牙齒矯正 4 大矯正器優缺點比較,不要再考慮「傳統矯正」了!